Adolescent substance use is a major public health problem – could child psychiatry access programs provide a solution?
Features
In recognition of the CDC’s designation of February as American Heart Month, this report looks at what is being done — and what could be done — to curb youth vaping.
The main focus of the debate surrounding pediatric bipolar disorder pertains to the concept of a prepubertal subtype of the disorder.
The Guideline Development Group of the WHO agreed that its recommendations on managing chronic pain in children would be based on the principles that access to pain management is a fundamental human right and children have a right to the highest possible standard of health.
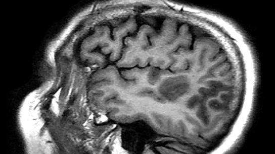
Jonathan Miner, MD, PhD, and Karin Nielsen-Saines, MD, MPH, discuss the latest insights about neurologic complications of ZVI and knowledge gaps that still exist in this field.
Because of the relative rarity of stroke in children, many clinicians tend to presume that mimics are the cause of the symptoms.
Neuraxial anesthetics and analgesics are associated with fewer systemic adverse effects.
The review found that there is substantial evidence that supports folic acid supplementation during pregnancy.
The new guidelines include a step-by-step diagnostic algorithm for use in the clinical setting, as well as a special emphasis on neurobehavioral impairment.
It’s important for pediatric neurologists to spend time preparing the patient for the transition to adult care.
Young people might not understand the health consequences of participating in stunts that help them feel like part of the crowd.